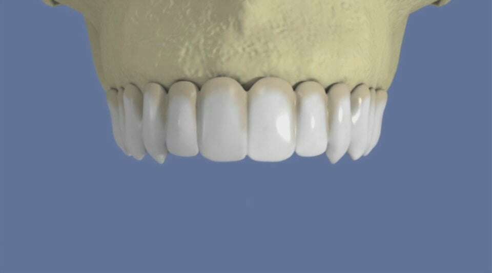
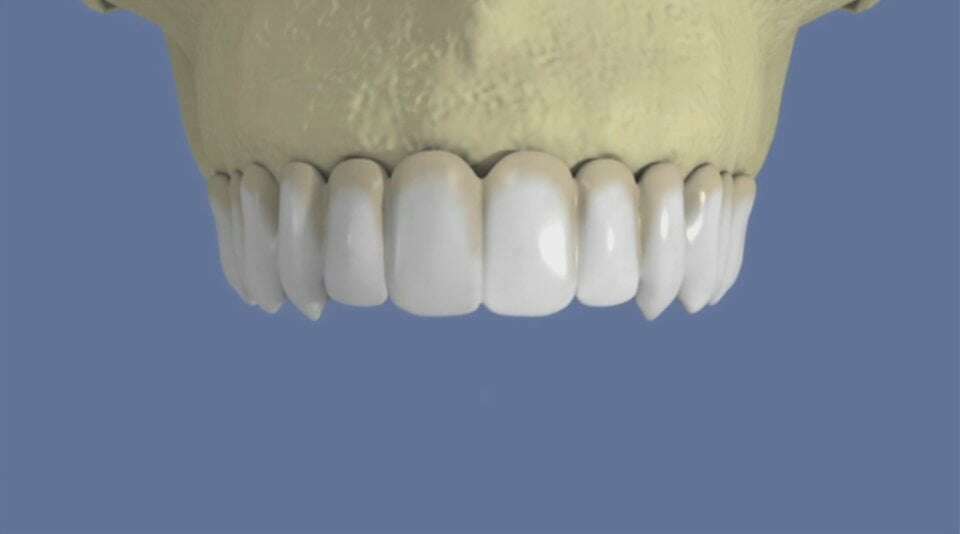
Maxillaire complet et traitement implantaire pour un bridge fixe scellé
Traitement d'une carie par inlay/onlay
+33 4 92 38 14 95
473 route des Dolines 06560 Sophia Antipolis
Création par
Connexion
Vidéo en cours de lecture